+961 3 739 783
+961 70 567 444
Dental Implants in the Aesthetic Zone — Beirut
Front teeth demand perfection. We deliver it.
Dental Implants in the Aesthetic Zone — Beirut
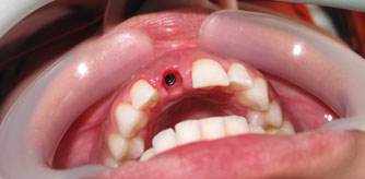
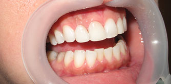
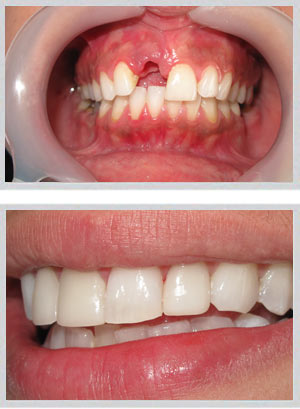
Aesthetic zone dental implant front tooth Beirut Lebanon Front tooth implant result Beirut before after

A missing front tooth is immediately visible. It affects how you are perceived in conversation, in photographs, and in the moments when you catch yourself smiling less freely than you once did. In Beirut's most demanding cosmetic and social environment, this matters enormously.

The anterior zone — upper and lower front teeth — is the most scrutinised area of the mouth. Any restoration placed here must be indistinguishable from the natural teeth surrounding it in shape, shade, surface texture, and gum architecture. This is where surgical skill and cosmetic dentistry expertise must operate together.

Dr. Habib Zarifeh is both an oral surgeon and a cosmetic dentist — as Head of Oral Surgery at CMC Hospital Beirut (Johns Hopkins International affiliated), MSc in Laser Dentistry from RWTH Aachen University, Germany, and inventor of ZEvolution Veneers®, he combines the surgical precision and aesthetic vision that anterior implant cases demand.

Aesthetic dental implant protocol Beirut cosmetic dentistry

What Makes the Aesthetic Zone Different in Beirut

  • Bone quality and volume — the buccal plate in the anterior region resorbs rapidly after extraction. Timing and grafting decisions are critical.
  • Gum quality and volume — soft tissue architecture determines the natural appearance of the crown. Thin biotype gums require specific management.
  • Mandatory temporization — a fixed temporary crown is required in the aesthetic zone. It shapes the gum during healing and blueprints the final crown.
  • Healing time — the gum tissue needs time to mature around the temporary before final impressions are taken. Rushing this step compromises the outcome.
  • Surgeon expertise — aesthetic zone implantology requires advanced training in both surgical and restorative disciplines in the same clinician.
  • CAD/CAM precision — digital crown design eliminates the errors inherent in traditional laboratory fabrication for the most visible restorations in the mouth.

One Surgeon. Both Disciplines. One Vision.

At CMC Hospital Beirut, the surgical and cosmetic elements of aesthetic zone treatment are managed by the same specialist. No handoff between surgeon and cosmetic dentist. No communication gap. The treatment is designed end-to-end with the final aesthetic outcome as the starting point — not an afterthought.

Missing a front tooth in Beirut?

Aesthetic zone implants require careful planning from the first consultation. Dr. Zarifeh will assess your bone and gum architecture and design a treatment plan with the final result clearly defined before surgery begins.

Book your Beirut consultation →   |   WhatsApp Dr. Zarifeh →
Patient Testimonials
"I lost an upper front tooth in an accident. Dr. Zarifeh placed the implant, gave me a temporary the same day, and managed the gum healing over four months. The final crown is identical to my natural teeth — my dentist in Beirut couldn't identify which one was the implant."
— Patient, Beirut
"Dr. Zarifeh designed the final crown shape before he placed the implant. He knew exactly what the result would look like from day one. That level of planning and the cosmetic outcome is what sets this clinic apart in Beirut."
— Patient, Dubai